• Phone 01096101006
  • 6 October, Central Axis, Lastieh Mall, 1st floor
  • info@damas-clinics.com

Pedodontics

Kids' Teeth – A Healthy Start for a Lifetime Smile
At Damas Clinics, we believe a child’s smile is more than just cute—it’s the foundation of lifelong oral
health. We offer specialized pediatric dental care that combines gentleness, fun, and the latest technology
to make sure your child feels safe and even excited to visit the dentist.

Why take my child to the dentist early?
Because prevention beats treatment—every time. A visit as early as age one helps monitor jaw growth,
check for early signs of decay or misalignment, and set healthy habits from day one.

My child is scared of the dentist. What can I do?
At Damas, our clinic isn’t scary. It’s colorful, welcoming, and full of friendly faces. Our pediatric dentists
are trained to speak to children with patience and kindness. First visits are all about comfort—no
treatment, just a friendly checkup and smiles.

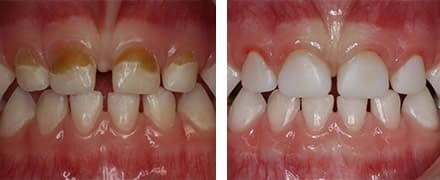
Do baby teeth even matter? Aren’t they going to fall out anyway?
Yes, they fall—but they matter a lot. They hold space for permanent teeth, help with speech and
chewing, and affect your child’s self-esteem. Early decay can lead to pain and impact adult teeth—so care
is essential.

What services do you offer?
Preventive cleaning & fluoride
Fillings for kids
Baby root canals
Space maintainers
Oral hygiene education
Growth monitoring and early orthodontics

Why Damas?
Because we treat your child like family.
We earn their trust, care for their smile, and help them grow with healthy habits that last.
Your child’s smile... our mission.

Damas Dental Clinic - Interior View

At Damas Dental Clinics, we believe that a confident smile is a powerful thing. That’s why we’ve built
more than just a dental practice—we’ve created a space where excellence, technology, and human care
come together to transform lives through smiles.