• Phone 01096101006
  • 6 October, Central Axis, Lastieh Mall, 1st floor
  • info@damas-clinics.com

Dental Implants

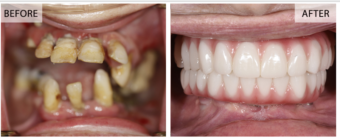
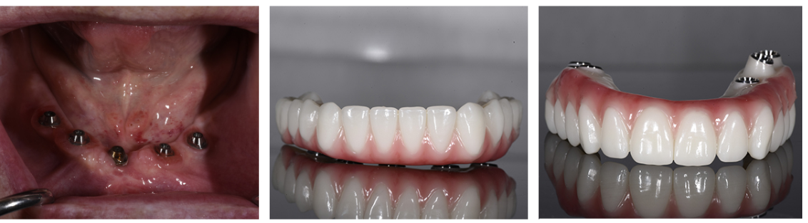
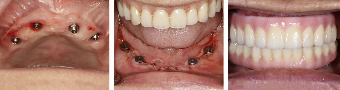
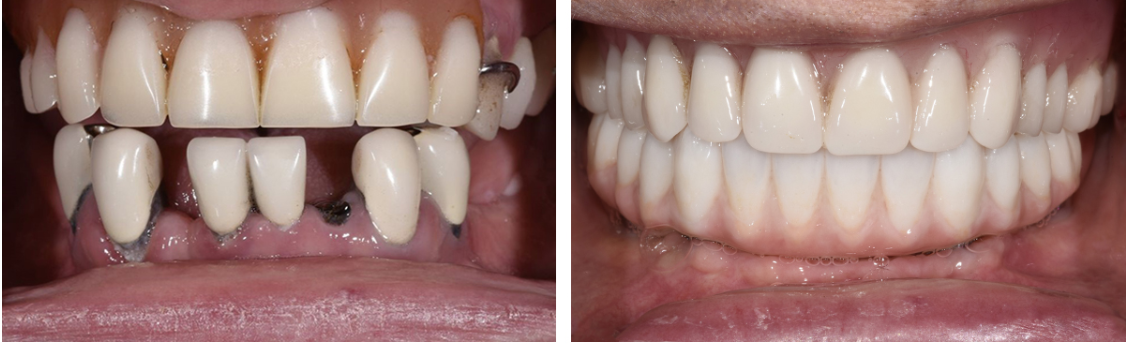
Dental Implants – Your Smile Reborn
At Damas Clinics, we don’t just replace teeth. We restore confidence.
A dental implant is more than a treatment—it's a transformation. Strong, secure, and natural-looking,
implants give you back the power to bite, speak, and smile without hesitation.

 

Damas Dental Clinic - Interior View

At Damas Dental Clinics, we believe that a confident smile is a powerful thing. That’s why we’ve built
more than just a dental practice—we’ve created a space where excellence, technology, and human care
come together to transform lives through smiles.