• Phone 01096101006
  • 6 October, Central Axis, Lastieh Mall, 1st floor
  • info@damas-clinics.com

Hollywood Smile and Veneers

Veneers & Hollywood Smile – Where Technology Meets Beauty
At Damas Clinics, beauty isn’t left to chance—it’s engineered. Our veneers and Hollywood Smile
treatments aren’t just cosmetic—they’re a blend of precision, personalization, and cutting-edge dental
technology that brings out the best version of you.

Digital Smile Design (DSD) – Your Smile in Preview
Before we touch a single tooth, we digitally design your new smile using advanced DSD software. You
get to see the final result on your face before treatment even begins. You're part of the creation, not just
the patient.

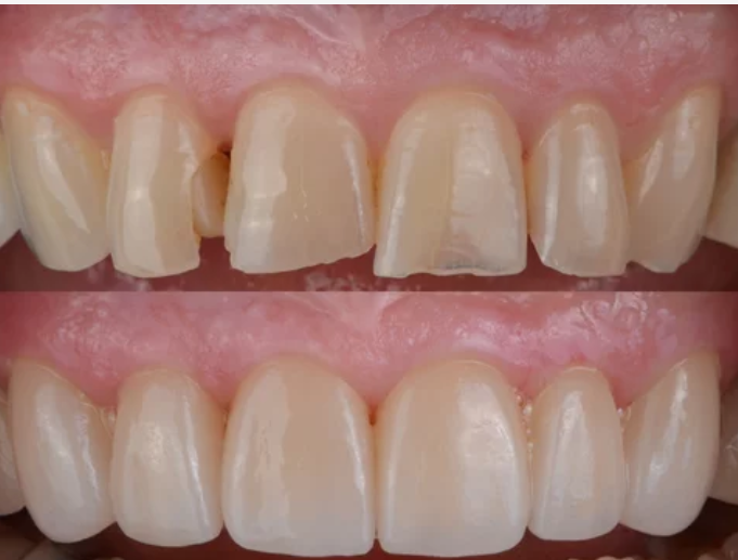
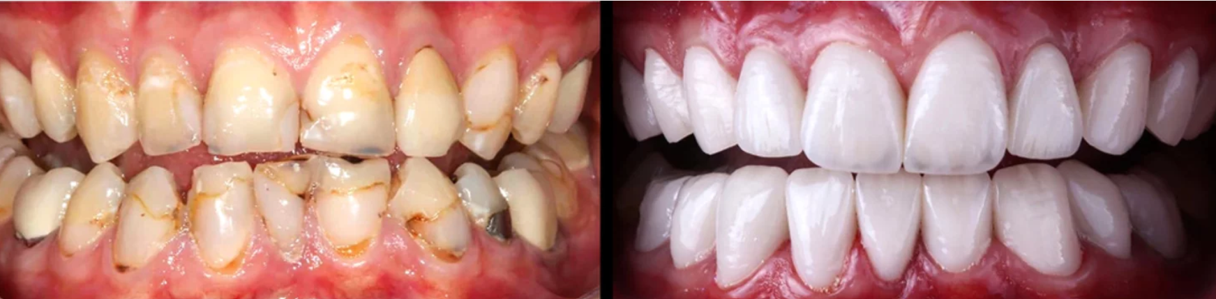
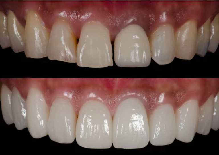
Veneers – Precision Beyond the Eye
Forget old-fashioned impressions. We use 3D scanners to capture the exact shape of your teeth with
microscopic accuracy. Then, ultra-thin porcelain or zirconia veneers are custom-made to enhance your
smile naturally.
Application is fast, painless, and minimally invasive—your natural teeth stay almost untouched.

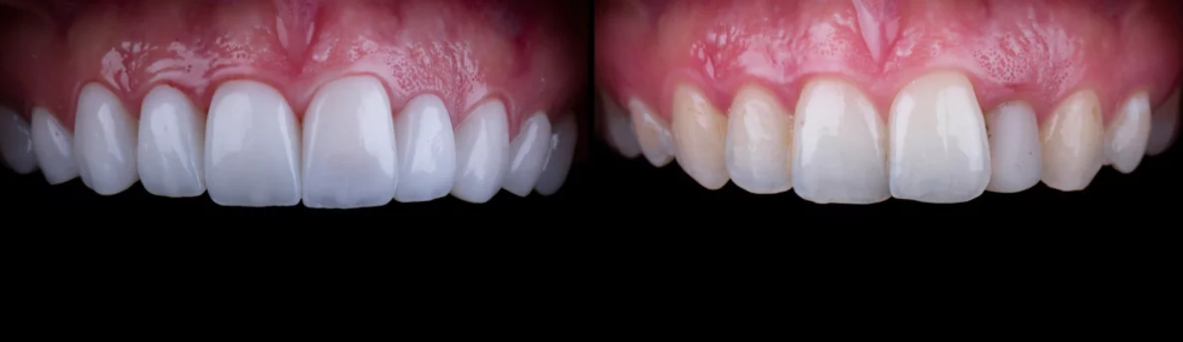
Hollywood Smile – Technology in Every Curve
We go beyond applying veneers. We digitally simulate your perfect smile, match the shades to your skin

tone, and craft a look that fits your face and personality. The result? A radiant, natural-looking smile that
exudes confidence.

Why Damas Clinics?
Because here, technology isn’t just a tool—it’s our mindset.
Because real beauty is born of science, accuracy, and a little artistry.
Because you deserve a smile that’s not just beautiful—but smart.

Veneers & Hollywood Smile by Damas Clinics – When Technology Smiles.

Damas Dental Clinic - Interior View

At Damas Dental Clinics, we believe that a confident smile is a powerful thing. That’s why we’ve built
more than just a dental practice—we’ve created a space where excellence, technology, and human care
come together to transform lives through smiles.